E-video Corner

E-Video Corner – WEO’s monthly e-Video section - May

May 31, 2023

Sign up for the WEO Newsletter today, and receive the latest news in endoscopy!

Sign up for the WEO Newsletter today, and receive the latest news in endoscopy!

Links to the three presentations from May’s e-Video sections are given below:

DEN screen shot

Digestive Endoscopy (DEN):

Moving scope technique for guidewire insertion during endoscopic ultrasound-guided hepaticogastrostomy

Saori Ueno, Takeshi Ogura, Kazuhide Higuchi


Ensodcopy evideo photo
Endoscopy:

Endoscopic submucosal dissection of colonic residual laterally spreading tumor with adaptive traction: use of the additional loops to improve traction focally in difficult area

Clara Yzet, Louis-Jean Masgnaux, Jérôme Rivory , Timothée Wallenhorst, Alexandru Lupu, Jérémie Jacques, Mathieu Pioche

GIE screen evideo shot

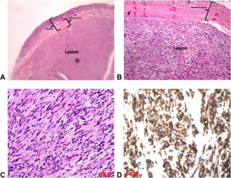
VideoGIE:

Endoscopic resection of a gastric GI stromal tumor using the helix-snaring technique

Luiz Gustavo de Quadros, Vitor Ottoboni Brunaldi, Marco Costa Silva, Manoel Galvao Neto, Khushboo Gala, Barham Abu Dayyeh

We are grateful to the Editors of these journals for sharing their links with our WEO e-Newsletter community.

Share this news room