News

E-Video Corner – WEO’s monthly e-Video section - September 2025

September 30, 2025

Sign up for the WEO Newsletter today, and receive the latest news in endoscopy!

Sign up for the WEO Newsletter today, and receive the latest news in endoscopy!

Links to the three presentations from September’s e-Video sections are given below:

 

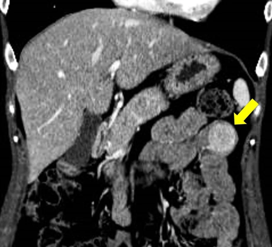
Digestive Endoscopy (DEN):

Transgastric endoscopic ultrasound-guided fine needle biopsy for diagnosing gastrointestinal stromal tumor of the jejunum

Yuichi Takano, Fumitaka Niiya, Masatsugu Nagahama      

DEN image
Endoscopy image sept
Video Gie image

We are grateful to the Editors of these journals for sharing their links with our WEO e-Newsletter community.

Share this news room